EN
产业资讯 政策法规 研发追踪 医改专题
基因编辑技术新应用:Eligo和 Kantonsspital St. Gallen建立战略联盟,通过体内基因编辑解决炎症性心脏病
产业资讯 凯莱英药闻 2022-09-19 3368

2022年9月13日, 基因编辑公司Eligo Bioscience(简称“Eligo”)和瑞士知名医院Kantonsspital St. Gallen宣布建立战略联盟,开发一种用于炎症性心脏病的基因编辑疗法。该合作建立在Burkhard Ludewig教授及其同事进行的研究基础上,利用 Eligo 的专有技术对微生物组进行体内基因编辑;通过将 Kantonsspital St. Gallen 对疾病的深入见解,以及对关键患者样本、数据和动物模型的分析,与Eligo 独特的基因编辑平台相结合,加速开发针对炎症性心脏病的新疗法。

Eligo是微生物组基因编辑治疗的全球领导者,正在推进高度差异化的精准药物管线,以解决由微生物组表达特定有害细菌基因引起的炎症、自身免疫和肿瘤学方面未满足的医疗需求。公司拥有首批涵盖微生物组原位碱基编辑的专利以及广泛的专利组合,包括使用 CRISPR 杀死细菌。目前已与制药企业、临床组织、学术实验室和资助机构达成合作伙伴。

Eligo通过专有的体内基因编辑技术,精准修改来自编码疾病驱动肽模拟物常驻细菌的基因,使这些肽无免疫原性,从而消除某一疾病加重因素。这种方法可以解决微生物组相关疾病中未满足的需求,消除疾病的细菌触发因素的同时,保持对人体健康至关重要的共生细菌。

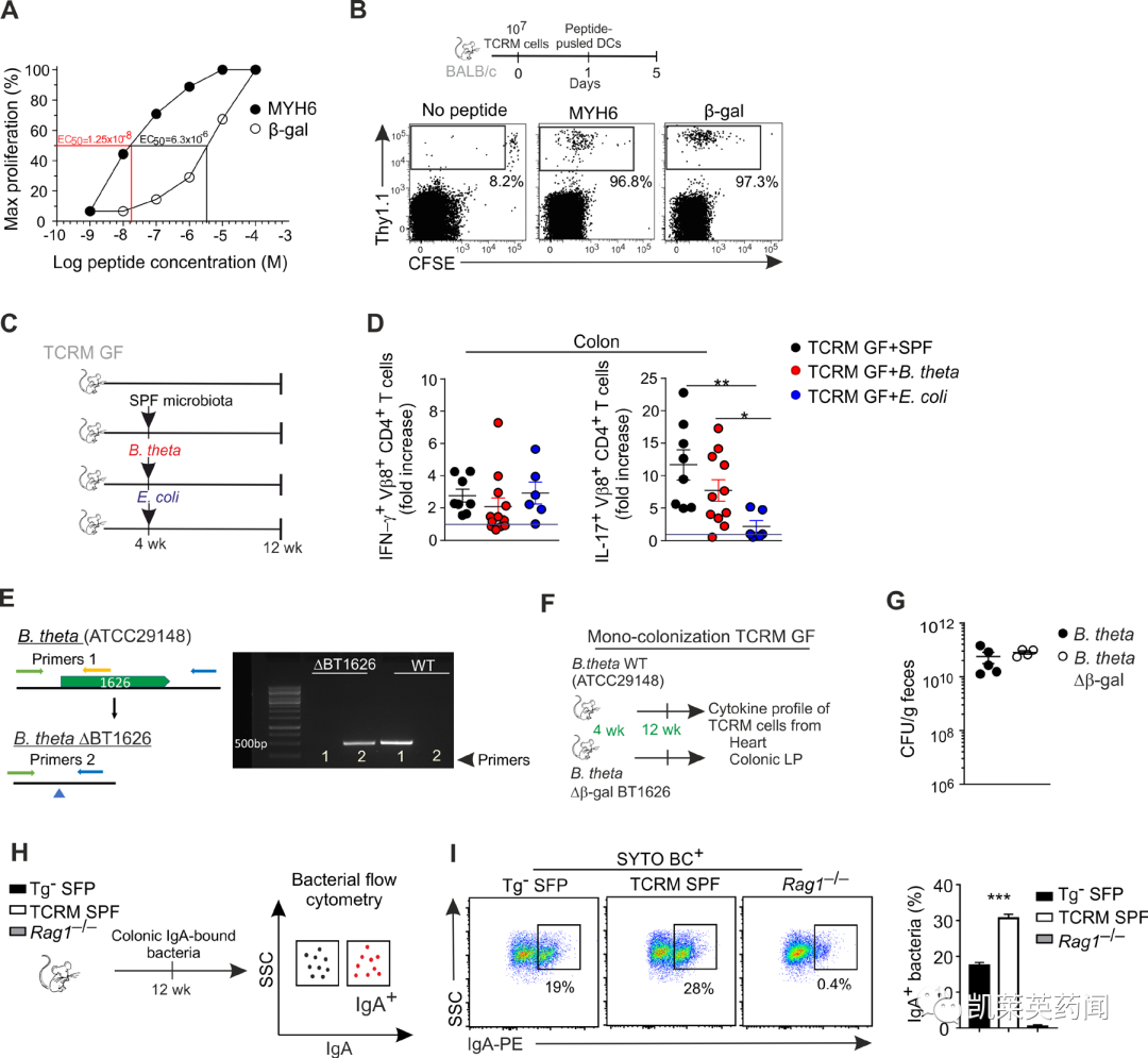
Kantonsspital St. Gallen 是瑞士最大的医院之一,也是瑞士东部主要的三级转诊中心。其中,Burkhard Ludewig教授于2019年在《Science》杂志上,发表了一篇研究了心源性的特异性的T细胞和菌群产物在致死性炎性心肌病中的关系的文章。通过对自发性心肌炎小鼠模型的研究,发现肠道中拟杆菌属B.theta和B.faecis可以表达和肌球蛋白重链MYH6同源性极高的微生物肽(β-半乳糖苷酶片段),特异性地影响心脏中的辅助性T细胞,促进心肌炎发展成致死性炎性心肌病。该研究为如何有效地抑制心脏毒性的T细胞,治疗心肌炎提供了新的靶点。

21 世纪是生命科学蓬勃发展的时代,基因编辑作为敲开亿万碱基大门的钥匙,为生命科学的发展带来了深远的影响。从1968 年第一个限制性内切酶的发现、1985 年聚合酶链式反应的发明,到2013 年CRISPR 介导的基因组编辑的示范,生物技术的每一个新突破发现都进一步提高了操纵DNA 的能力。基因编辑技术可在生物体内敲入、敲除或修改DNA,用于创建复制特定疾病状态的模式动物,从而更准确地评估药物安全性和有效性。基因编辑的应用场景

从技术发展角度看,基因编辑经历了锌指核酸酶(ZFNs)、转录激活物样效应器核酸酶(TALENs)和CRISPR 技术的迭代式发展,使得应用场景更加多元化。其中,CRISPR-Cas 作为细菌的适应性免疫系统,广泛存在于细菌和古生菌的染色体上。当外源病毒或质粒DNA 进入细胞时,专门的Cas 蛋白将外源DNA 剪成小片段,并将它们粘贴到连续的DNA 片段中,称为CRISPR 序列。与ZFN 和TALEN的DNA 结合结构域的构建需要执行蛋白融合过程相比,CRISPR-Cas技术利用设计的特异性向导RNA 分子作为DNA 结合结构域,替代了蛋白融合过程,大大降低了技术难度,表现出了极大的优势。

基因编辑在医学上的研究仍处于初步阶段,主要存在四大问题:

·有效性。基因编辑成功的效率比较低,有效性不高。

·递送的方式。CRISPR /Cas9 在细胞内发挥基因编辑作用的形式分别是Cas9 蛋白和单链向导RNA (sgRNA):Cas9 进入细胞的形式有3 种,即DNA、RNA 或蛋白, sgRNA进入细胞的形式有2 种,即 DNA 或RNA;由于缺乏理想的递送系统,限制了CRISPR /Cas9 技术在临床上的应用。

·脱靶问题。sgRNA 可能结合到与靶基因相似的序列上,从而在非靶标基因处切割DNA,从而造成脱靶。Cas9 也可能会识别非标准的PAM,导致不同程度的脱靶效应。

·伦理安全问题。人类的大多数疾病是由多种因素决定的,不仅仅是通过编辑一个基因就能达到治病的效果,被编辑的基因也可能潜在影响身体的其他性能。

2020 年,基因编辑服务预计全球市场规模为35亿美元,中国市场规模为人民币30 亿元。

出处:https://www.biospace.com/article/releases/eligo-bioscience-and-kantonsspital-st-gallen-announce-their-strategic-alliance-to-address-inflammatory-cardiac-diseases-through-in-vivo-gene-editing/

您可能感兴趣
波士顿科学,大赚355亿
波士顿科学,大赚355亿
产业资讯 赛柏蓝器械 2026-04-27 125
IL-2新药biotech,融资3.25亿美元
IL-2新药biotech,融资3.25亿美元
产业资讯 药融圈 2026-04-27 119
AbbVie决定在这投资14亿美元,并融合AI
AbbVie决定在这投资14亿美元,并融合AI
产业资讯 药融圈 2026-04-27 119