研发追踪
国际肿瘤资讯
2025-08-11
1744
据“Onclive”报道,2025年8月6日,Jazz Pharmaceuticals公司研发的抗癌新药Dordaviprone(商品名Modeyso®)获美国FDA加速批准上市。这是一款针对H3K27M突变弥漫性中线胶质瘤(DMG)的新型全身疗法,适用于1岁及以上、携带该突变且经先前治疗后病情进展的成人和儿童患者。
此次批准是肿瘤学领域的重大里程碑:Modeyso®不仅是FDA批准的首个且唯一一个针对这一罕见侵袭性脑瘤的治疗药物,更为1岁及以上、既往治疗后复发的患者提供了首个靶向全身治疗方案。
首款针对H3K27M突变DMG的全身疗法获批,填补致命儿童脑瘤治疗空白,12个月生存率达57.3%
弥漫性中线胶质瘤(DMG)是一种罕见且极具侵袭性的儿童高级别胶质瘤,主要影响儿童和青少年,H3K27M突变是其标志性分子特征,与极差的预后密切相关。该疾病进展迅速,既往治疗选择仅局限于放射治疗,尚无FDA批准的全身疗法,有效治疗方案长期匮乏。而dordaviprone的加速获批,恰好填补了这一致命癌种患者的临床需求。
Dordaviprone作为一种可穿透血脑屏障的小分子亚胺吡啶酮,其获批主要基于发表在《临床肿瘤学杂志》中的5项非随机临床试验的汇总分析数据。该研究共纳入50例复发性H3K27M突变型弥漫性中线胶质瘤(DMG)患者(其中儿童4例、成人46例),均在四项临床试验或一项扩展获取方案中接受口服ONC201单药治疗。结果显示如下:
1、缓解率:按RANO-HGG标准评估,客观缓解率(ORR)为20%(95%CI:10.0-33.7),包括1例完全缓解(CR)、9例部分缓解(PR)(详见下图);疾病控制率(DCR)为40%(95%CI:26.4-54.8),其中10例达到疾病稳定(SD)。中位缓解持续时间(DOR)为11.2个月(95%CI:3.8-未达到),中位缓解时间(TTR)为8.3个月(范围1.9-15.9)。

▲图源“J Clin Oncol”,版权归原作者所有,如无意中侵犯了知识产权,请联系我们删除
2、无进展生存(PFS):6个月无进展生存率(PFS)为35.1%(95%CI:21.2-49.3)(详见下图)。

▲图源“J Clin Oncol”,版权归原作者所有,如无意中侵犯了知识产权,请联系我们删除
3、中位总生存期(OS):中位OS为13.7个月(95%CI:8.0-20.3),12个月和24个月总生存率分别为57.3%(95%CI:41.4-70.3)、34.7%(95%CI:20.7-49.2)(详见下图)。

▲图源“J Clin Oncol”,版权归原作者所有,如无意中侵犯了知识产权,请联系我们删除
脑瘤患者还需知道的三大前沿抗癌疗法
01
CAR-T疗法:治疗2个月肿瘤显著缩小超60%
《新英格兰医学杂志(NEJM)》报道了一个“采用 CARv3-TEAM-E T 细胞[这是一种针对表皮生长因子受体(EGFR)变体Ⅲ特异性CAR-T细胞],治疗 EGFRvIII 阳性胶质母细胞瘤”的振奋案例,治疗后肿瘤显著缩小、肿瘤标志物也下降。
该患者为一位72岁男性,确诊EGFRvIII阳性胶质母细胞瘤后,先后接受了开颅手术、肿瘤切除术、替莫唑胺化疗、标准放射治疗等传统治疗,但肿瘤仍继续进展。此后,他入组CARv3-TEAM-E T细胞1期临床研究,并开始接受治疗。
结果显示:治疗第2天复查MRI发现,肿瘤横截面积竟然减少了18.5%!在治疗第69天,肿瘤进一步缩小60.7%(详见下图)。更令人惊喜的是,在未使用抗血管生成药物及糖皮质激素的情况下,这种缓解状态持续超 150 天(近 6 个月)。此外,脑脊液样本的细胞外囊泡 RNA 液体活检结果显示,肿瘤标志物 EGFRvIII 及 EGFR 均呈下降趋势。

▲图源“NEJM”,版权归原作者所有,如无意中侵犯了知识产权,请联系我们删除
02
质子治疗:完胜传统X射线,光速级精准爆破癌细胞,健康组织少遭殃,儿童生长发育有保障
质子治疗虽属于放射治疗范畴,但其不同于传统X射线放疗,而是利用带正电的亚原子粒子——质子来杀灭癌细胞。
质子能破坏细胞DNA并阻止其繁殖,从而达到杀伤效果。它的速度可达光速的约三分之二,不仅能精准靶向癌组织,还能最大程度减少对附近健康组织和器官的辐射暴露,因此在治疗癌症时可显著降低放疗副作用,提升患者生活质量,尤其适合儿童和年轻人。

以儿童脑癌患者为例,标准X射线治疗的不良影响较明显:若辐射覆盖大脑部分区域,可能导致神经心理及智力缺陷,且副作用程度随照射脑组织体积和辐射剂量增加而加重;若辐射涉及下丘脑,还可能影响生长激素和甲状腺激素水平,进而阻碍患儿未来的生长发育。而质子治疗的优势正在于,在有效治疗脑癌的同时,能降低辐射对大脑健康区域的损害风险。
▼头部和脊柱部位质子和X射线治疗对比

▲图源“Fred Hutch Cancer Center”,版权归原作者所有,如无意中侵犯了知识产权,请联系我们删除
注:图中有色区域代表受到辐射,黑、白、灰色区域则代表未受到辐射。
03
肿瘤电场疗法:可随身穿戴的抗癌黑科技,让胶质母细胞瘤患者存活超3年,远超传统治疗预期
电场疗法(TTFields)是一种便携、无创的局部物理疗法,其治疗原理是通过在患者皮肤表面放置特制绝缘电极贴片,产生特定频率的低强度中频电场。该电场可穿透皮肤与身体组织,直接作用于肿瘤部位,干扰肿瘤细胞的有丝分裂,从而抑制肿瘤生长和扩散。
TTFields的临床应用已获多方认可:2015年首次获美国FDA批准用于新诊断的胶质母细胞瘤(GBM)治疗,此后又相继获批用于复发性胶质母细胞瘤(rGBM)、恶性胸膜间皮瘤,目前还可用于非小细胞肺癌、胰腺癌、胃癌、肝癌、卵巢癌等颅外肿瘤的治疗。
▼Optune®组成及佩戴示例图

▲图源“MDPI”,版权归原作者所有,如无意中侵犯了知识产权,请联系我们删除
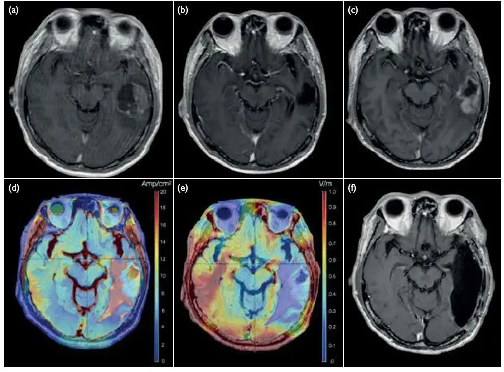
《香港医学杂志》曾报道过一则典型案例:一名55岁男性胶质母细胞瘤患者,术后接受电场治疗(TTF)后存活超3年。该患者2018年5月因头痛、呕吐及全身性癫痫入院,磁共振成像显示左侧颞中回存在不均匀增强的脑内肿瘤,且伴有肿瘤内出血(图1a)。随后接受开颅全肿瘤切除术(图1b),组织病理学诊断为IDH-1野生型、MGMT启动子未甲基化的胶质母细胞瘤。术后,患者接受替莫唑胺(TMZ)同步放化疗联合电场治疗(TTF),共完成6个周期替莫唑胺治疗后拒绝进一步化疗,仅依靠TTF控制肿瘤达12个月。治疗前,其欧洲癌症研究与治疗组织整体生活质量(EORTCQLQ-C30)评分为67/100;治疗6个月后,该评分提升至84/100。
诊断后18个月,患者出现局部肿瘤复发,遂接受第二次开颅手术及全切除术(图1c),术后采用二线洛莫司汀化疗联合TTF治疗。治疗后,患者ECOG状态为1,生活质量良好,截至2022年已存活45个月(超3年),远高于传统治疗预估的15个月中位总生存期。
▼该患者治疗前后影像学对比图

▲图源“Hong Kong Med J”,版权归原作者所有,如无意中侵犯了知识产权,请联系我们删除
小编寄语
几年前,脑瘤术后和化疗后的临床标准做法就是被动的“观察和等待”,等着癌症复发,等着癌细胞在体内肆虐到兵强马壮的时候,我们再仓皇的应对,但通常为时已晚。而近年来,脑瘤的治疗已经取得了长足的进展,逆转了晚期患者的生存期、提高了生存质量、降低了因治疗产生的副作用(如对儿童智力/生长发育的伤害等)。
更加欣慰的是,除了上面提到的疗法外,还有更多抗癌新药/新技术(如癌症疫苗、NK细胞等)正在研发中。如果您对现有治疗方案不满意,或想了解脑瘤更多抗癌新药/新技术的更多讯息,可将治疗经历、近期病理检查报告、出院小结等,提交至全球肿瘤医生网医学部(400-666-7998),进行初步评估。
原文链接:
https://www.fda.gov/drugs/resources-information-approved-drugs/fda-grants-accelerated-approval-dordaviprone-diffuse-midline-glioma#:~:text=On%20August%206%2C%202025%2C%20the%20Food%20and%20Drug,K27M%20mutation%20with%20progressive%20disease%20following%20prior%20therapy.
研发追踪
医药时间
2026-05-04
483
研发追踪
药讯随说
2026-05-04
484
研发追踪
医药笔记
2026-05-04
466
热门资讯