产业资讯
医药魔方Pro
2025-02-28
970
2月25日,最新发表在Nature Cancer杂志上的一项研究中,来自德克萨斯大学MD Anderson癌症中心的科学家们开发出了一种新型的抗体-毒素偶联物(antibody-toxin conjugate, ATC),用以刺激免疫系统来根除肿瘤。ATC技术结合了ADC及免疫疗法,有望为癌症患者带来新的治疗选择。

来源:Nature Cancer
过去几年,ADC药物研发取得重大突破,成为新药研发领域最热门的赛道。ADC由单抗、有效载荷和连接子组成,这种设计结合了抗体的特异性(靶向癌细胞表达的特定蛋白)和有效载荷(通常是化疗药物)的高细胞毒性。共同领导这项新研究的Wen Jiang博士表示,ATC的不同之处在于它不是直接杀死癌细胞。

Wen Jiang, M.D., Ph.D., associate professor of Radiation Oncology(来源:MD Anderson癌症中心)许多实体肿瘤在其表面表达CD47蛋白,向身体的免疫系统发出 “别吃我”的信号,以逃避免疫检测和攻击。在该研究中,ACT的抗体部分靶向CD47,递送一种细菌毒素(listeriolysin O, LLO)。

CD47抗体与LLO的偶联与纯化(来源:Nature Cancer)
简单来说,CD47抗体与癌细胞结合,使癌细胞能够被体内的免疫细胞(巨噬细胞)“吃掉”。一旦免疫细胞吞噬了肿瘤,细菌毒素即释放,激活,并创建一个通路,使得肿瘤的DNA和蛋白片段不被破坏,以帮助免疫细胞更好地建立抗肿瘤防御(LLO释放和激活后,会在吞噬溶酶体膜上形成孔,增强肿瘤衍生肽的抗原交叉呈递,激活胞质免疫传感器)。

CD47-LLO在体内驱动肿瘤抗原驱动的T细胞反应(来源:Nature Cancer)
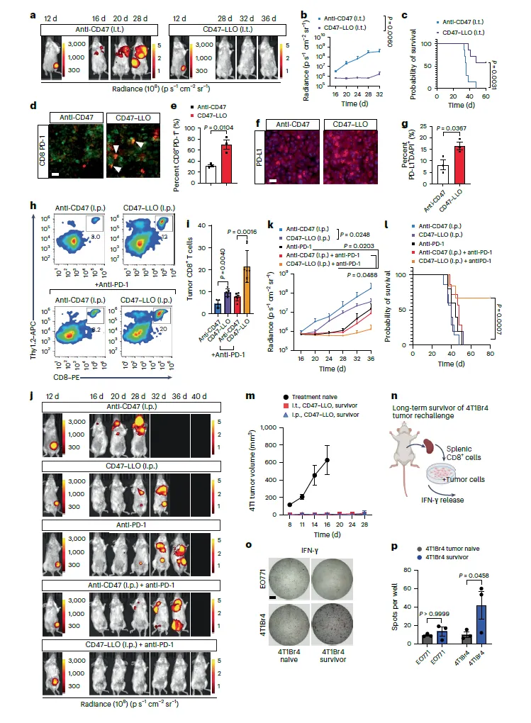
在乳腺癌和黑色素瘤的临床前模型中,ACT技术(CD47–LLO)显示出多种益处。通过教育免疫系统识别癌细胞的独特特征,ATC技术在触发抗肿瘤免疫反应方面更有效。CD47–LLO可显著抑制局部和转移性乳腺癌和黑色素瘤的生长,作为单一疗法或与检查点阻断疗法联合使用,能够显著改善模型动物的生存。

CD47-LLO驱动系统性抗肿瘤免疫抑制乳腺癌转移(来源:Nature Cancer)
值得一提的是,通过ATC治疗诱导产生的T细胞在两个月后仍然存在,表明这种疗法有望预防肿瘤复发。这些结果表明,设计ATC来促进肿瘤细胞的免疫识别是治疗多种癌症的一种有希望的策略。研究人员表示,ATC疗法也有可能与传统疗法结合,特别是放射性疗法。许多实体瘤响应放疗的一个变化是,试图用一些蛋白来保护自己,包括CD47。CD47的上调会使它们更容易受到ATC药物的影响。据悉,研究团队已经在开发靶向其它肿瘤特异性受体的ATC药物,他们的目标是在未来3-5年内将首个药物推向临床试验。
参考资料:
[1]https://www.nature.com/articles/s43018-025-00919-0
[2]https://www.mdanderson.org/newsroom/md-anderson-researchers-develop-novel-antibody-toxin-conjugate.h00-159774078.html
产业资讯
瞪羚社
2026-02-07
25
产业资讯
医药魔方Pro
2026-02-07
23
产业资讯
Bio Journey
2026-02-07
25